烟台康骨
堂医药科技有限公司
YAN TAI KANG GU TANG YI YAO KE JI YOU XIAN GONG SI
首页
公司简介
企业新闻
产品中心
联系我们
招商热线:4006567168
都是喝酒惹的祸!!!!
来源:
|
作者:
pmo906221
|
发布时间:
2016-05-11
|
592
次浏览
|
分享到:
“小酌怡情,大饮伤身”很多人都熟知的一个道理,但白酒到底伤哪里,却不是每个人都了解。我们曾经在电视节目做了一个简单的调查,发现大家对于胃、肝、肾等都比较认同,而且饮酒之后各有妙招来养胃、护肝、保肾解酒,但有一个关键的部位却被大家全部忽略——这就是髋关节。
髋关节
是连接人体骨盆和下肢的一个大关节,由股骨头和髋臼组成,他们就像一个倒扣杵和臼,在活动的同时具有良好的承重和稳定性,而其中股骨头由于本身解剖结构的特殊性,最容易受到影响:
股骨头
本身的血供如上图所示,是由较粗的动脉的分支及其末梢来供血的,他们在股骨颈基底部形成一个供血动脉环,而在头部主要依靠这个环发出的细小分支来营养,类似于心脏的冠状动脉,一旦其中形成堵塞,就会直接导致供血支配区的缺血坏死。大量饮酒后,酒精代谢主要在肝脏进行,使脂肪在肝内出现堆积,形成脂肪肝,不断放出脂肪栓子进入血液,脂肪栓子滞留于终末的小血管及软骨下血管床内,引起软骨缺血而坏死;同时酒精代谢过程中产生乙醛等脂质过氧化物,从而引起血管内皮的进一步损伤,形成微小的栓子堵塞血管;加之酒精及其代谢产物的直接细胞毒性作用,饮酒还可造成维生素D代谢紊乱,骨细胞代谢降低,成骨能力减低,发生骨质疏松,导致局部受力面积减少而产生高应力的成骨反应,骨细胞破坏,软骨下出现微小骨折,引起局部骨内压升高和出血,导致骨坏死。这一系列的变化导致股骨头得不到充足的营养供应,在负重下出现的慢性损伤不能及时修复,日积月累逐渐出现股骨头坏死塌陷变形。
那么酒精性股骨头坏死有什么表现呢?
早期
正常会出现大腿根部疼痛或者臀部的疼痛,早期是隐痛或酸痛不适,特别是翘“二郎腿”时感觉困难,疼痛可以向大腿内侧、膝关节放射,经常会被误认为是腰椎间盘突出或膝关节疾病
加重
随着病情逐渐加重,患者会发现下蹲困难、自己穿鞋或穿袜子费劲、走路跛行。
严重
再严重就会出现两条腿不一样长,无法站立行走。
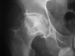
因此有长期大量喝酒习惯的朋友们需要警惕,一旦出现上述情况,应及时到正规医院就诊。通过X片和核磁共振可以明确诊断,核磁对于早期病变有着非常好的敏感性,从而可以帮助患者及早治疗,避免病情进一步严重。
在酒精性股骨头坏死的早期,可以通过戒酒、扶双拐减轻负重、口服促进微循环及骨坏死修复的相关药物来减慢股骨头坏死的进展;并且可以根据早期股骨头外形尚完整,单纯内部出现囊性改变及硬化修复的特点,采用股骨头髓心减压结合植骨的方式,将股骨头内缺血坏死的区域打通,重新建立血供,并给予足够强度的骨质支撑 ,从而期望通过人体的自我修复来达到痊愈的目的,据我们关节中心的经验,早期的股骨头坏死通过这种办法, 70%~80%左右患者可以获得满意效果,从而保住自己的股骨头。
但如果X线上发现股骨头外形已经改变,出现了塌陷,这种情况属于股骨头坏死的晚期,保守治疗的效果往往不令人满意,解决问题的根本是通过关节置换的方式来获得一个人工的关节。
上一篇:
认识关节炎
下一篇:
中老年人骨病知识